PERIODONTAL
歯周病治療(歯周再生医療)
歯周病とは
About
歯周病は、歯や歯ぐきに付着するプラークが原因となって引き起こされる感染症です。
歯周病にかかると、歯の周りの組織である歯ぐきや骨に炎症を起こし、やがて歯が抜け落ちてしまいます。
歯周病の進行
Disease progression
歯周病の進行は非常に遅いため、普段の口腔内の変化ではなかなか気がつきません。気づかないうちに歯周病は進行し、多くの人が歯槽骨が吸収して歯が動くのを感じてから初めて症状を自覚します。
さらに歯周病は口腔内だけではなく、全身にも影響を及ぼすことが最近分かってきました。歯周病菌そのものは強い病原性を持っているわけではありませんが、菌が歯周炎を起こした歯肉から血液に入りやすい状態になり、全身疾患の原因になる場合があるのです。
進行度1
健康で正常な歯ぐきです。
進行度2
歯肉炎の状態です。プラークが溜まりバイオフィルムが付着しています。
それにより歯ぐきに炎症が起こり、歯ぐきが腫れています。
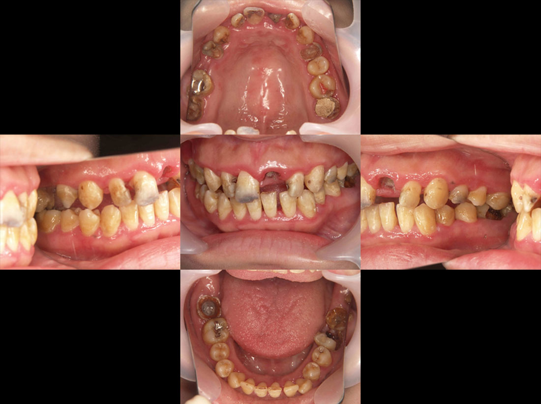
進行度3
中等度歯周炎の状態です。
炎症が広範囲に広がることにより、歯と歯茎の付着がはがれ、歯を支える骨もとけています。
進行度4
重度歯周炎の状態です。歯を支えている骨がほとんど溶け、大きく動揺しています。
さらに進むと、歯は抜け落ちてしまいます。
歯周病の特徴
Characteristic
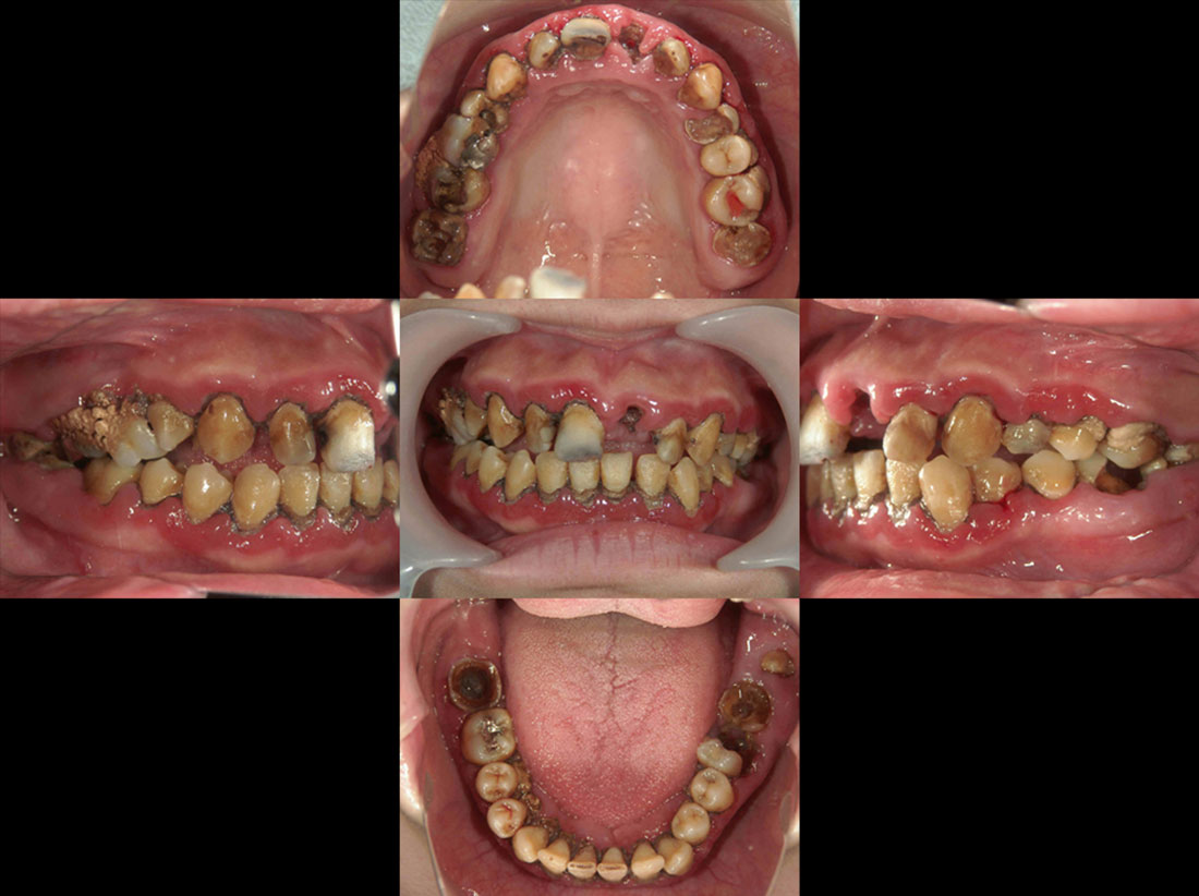
抜歯の理由
歯周病は世界で一番罹患者の多い感染症で、日本人の成人の約8割が感染しています。
また、日本人における抜歯理由として最も多く、約42%の割合を占めています。
抜歯の理由
歯周病は世界で一番罹患者の多い感染症で、日本人の成人の約8割が感染しています。
また、日本人における抜歯理由として最も多く、約42%の割合を占めています。
歯周病の症状
歯周病は『Silent disease』とも呼ばれ、ほとんど症状がないのが特徴です。
今まで全く症状がなかったのに、歯医者に行ったら歯周病で歯を抜かなければいけないと言われる方も、しばしばいらっしゃいます。
ただし、痛みはなくとも、以下の様な症状を感じることはあります。
- ブラッシング時等の歯ぐきからの出血
- 歯ぐきの違和感:浮いた感じと表現されることもあります。
- 歯ぐきの腫れ:赤黒く腫れぼったい状態となります。
- 歯の揺れ:歯を支える骨の量が減ることにより歯の動揺をきたします。
- 口臭:肝臓等内臓の疾患や心因性のものも多く認められますが、歯周病が進行すると特有の臭いを発します
全身疾患との関わり
近年、歯周病は単に口の中の感染症ということだけではなく、種々の臓器に影響を及ぼす可能性のある、炎症性の病気として認識されるようになりました。
- 糖尿病
糖尿病は歯周病を悪化させる重要なリスクファクター(増悪因子)です。また、歯周病も糖尿病を悪化させる病気として、近年注目されています。 - 冠状動脈心疾患
歯周病を発症している人は歯周病ではない人に比べ、1.5倍~2.8倍冠状動脈心疾患に罹患するリスクが上がるという研究結果が出ています - 早期低体重児出産、切迫早産
歯周病を発症している人は歯周病ではない人に比べ早期低体重児出産の可能性が約5倍という研究結果が出ています。 - 誤嚥性肺炎
誤嚥性肺炎とは、細菌が唾液や胃液と共に肺に流れ込んで生じる肺炎です。歯周病菌として知られている細菌類が誤嚥性肺炎の患者さんの肺から検出されたとの報告があり、その関連性にも注目されています。
歯周病の原因
『プラーク』、いわゆる『歯垢』が歯周病の原因です。
このプラークは、ただの食べかすではなく、歯周病の原因となる細菌の塊です。1mg中に何と約10億もの細菌が含まれています!近年、プラークは細菌が固まり強固にへばりつく『バイオフィルム』として捉えられるようになりました。このバイオフィルムは抗菌薬が効かず、簡単には除去できないのが特徴です。
歯科医院での特殊な器具を使った歯科医師、歯科衛生士によるクリーニングで定期的に除去するようにしましょう。
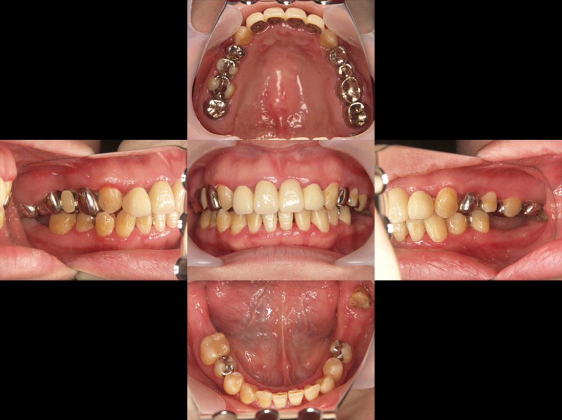
応用的歯周病治療
Applied treatment
当院では、審美治療にも力を入れています。
審美治療には歯だけではなく、歯肉(歯ぐき)の形や高さ、厚みも非常に大事な要素となってきます。
そこで、様々な処置を行い、より審美、機能的に良い歯肉となる治療も行っています。





