WHITENING

ホワイトニング

ホワイトニングとは

About

ホワイトニングは、薬剤を歯の表面に塗布して歯を白くする方法です。
適応症は、コーヒー、紅茶、赤ワインなどの色素が歯の表面から内部にまで沈着している場合です。
ホームホワイトニングについては、専用の患者さん個々に製作した器具を1-2時間ほどつけていただくものです。

ホワイトニングには、医院で行うオフィスホワイトニングとお家で行うホームホワイトニングがあります。

ホワイトニングの種類

Types of whitening

ホームホワイトニング

ホームホワイトニングは、基本的に在宅治療で、家で寝ている間に薬剤を塗布したマウストレイを装着するだけで、表面を削ることなく、やさしく持続的に歯を白くすることが出来ます。また、歯にとても優しい成分を使用していることで、処置中の知覚過敏を起こしにくいということが特筆される治療システムです。

オフィスホワイトニング ~早く歯を白くしたい方へ~

オフィスホワイトニングとは、診療室で行なうホワイトニングです。
高濃度の薬剤を歯に作用させるため、短時間で歯を白くすることができます。
オフィスホワイトニングの効果は個人差や歯によりその度合いは異なりますが1回のホワイトニングでその直後からホワイトニングの効果を得ることができます。

デュアルホワイトニング

ホームホワイトニングとオフィスホワイトニングを併用して行う方法です。
単独方法よりもそれぞれの長所と短所を打ち消し合うということで、ホワイトニングの期間の短縮と歯の白さの持続が得られますので、最も高いホワイトニング結果を引き出すことが可能です。白色度・透明感・スピードともに、現在のホワイトニングにおいて一番推奨される方法です。

当院のホームホワイトニングシステム

Home whitening system

当院ではTionホワイトニングを使用しております。

当院では、「TiON Take Home」を使用しております。TiON Take Homeは自然で透明感のある白さが得られるホワイトニング材です。
ホームホワイトニングは医師の指導のもと患者さん自身がご自宅などで行うため、高い安全性が求められます。
比較的低濃度の過酸化尿素(10%)が含まれた材料を使用し、効果が現れるまで長期間継続する必要があります。

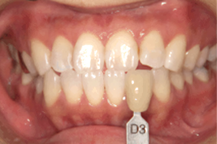
ホワイトニングの症例

Treatment cases

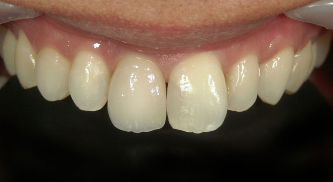
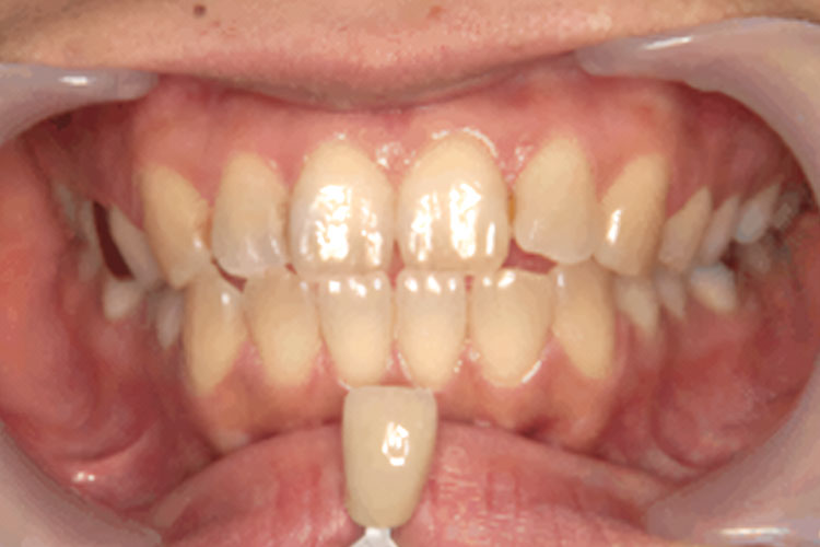
治療前

治療後

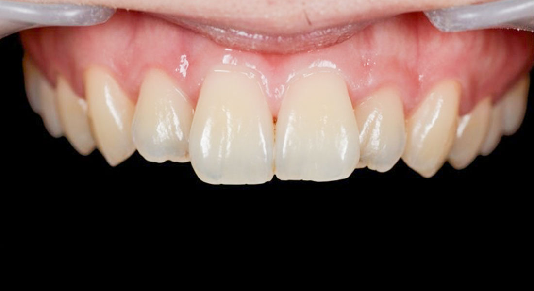
治療前

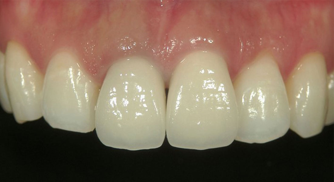
治療後

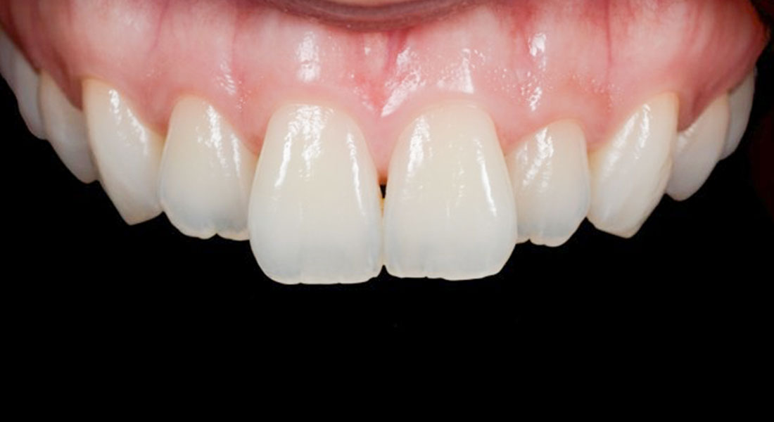
治療前

治療後

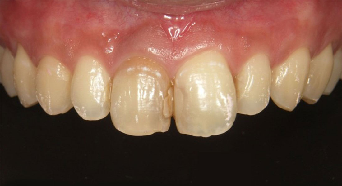
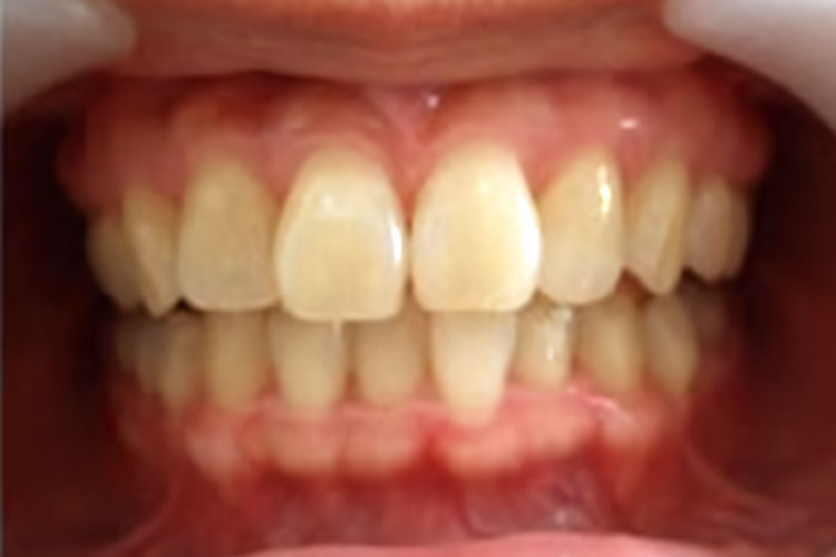
デュアルホワイトニング

治療前

治療後

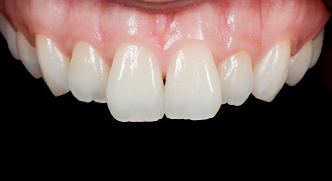
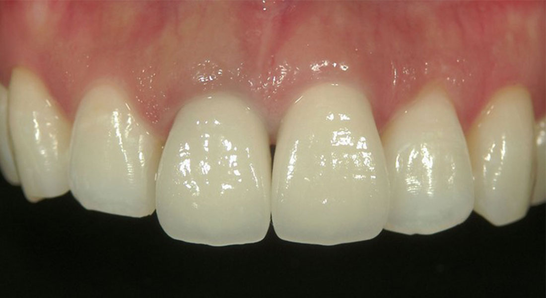
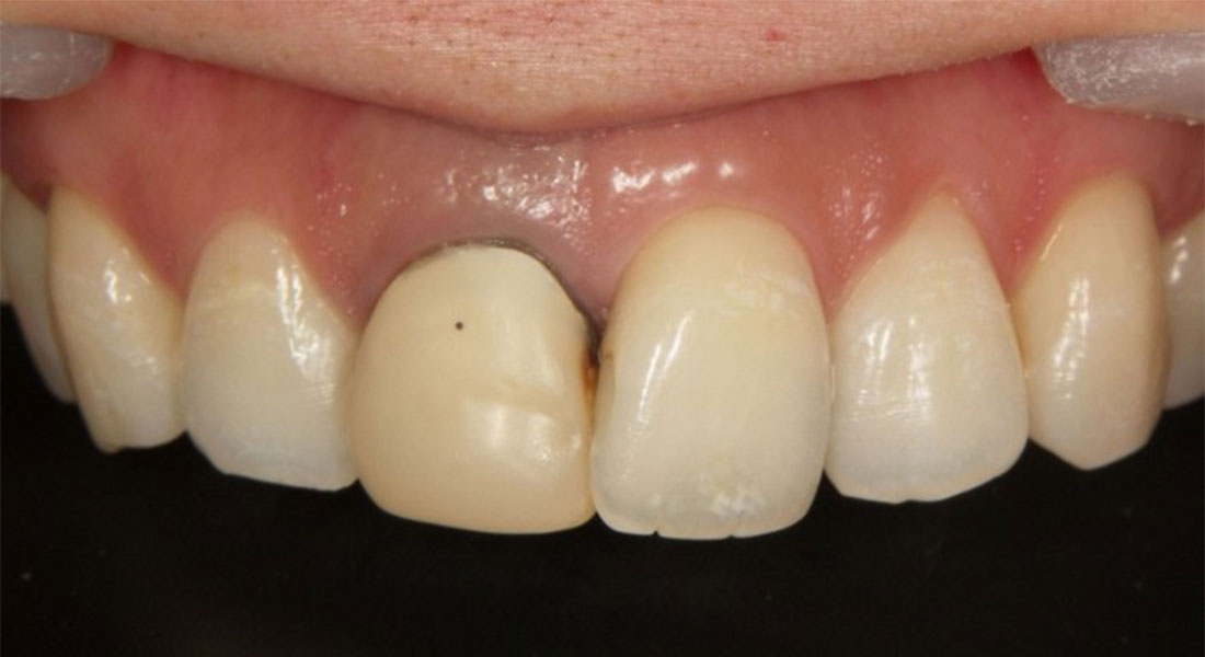
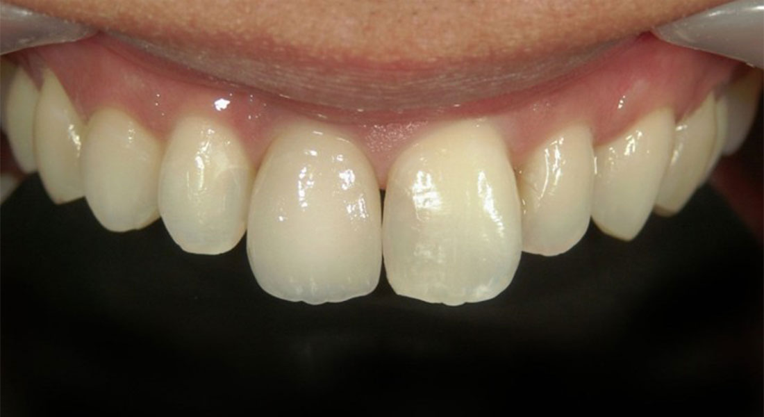
ホームホワイトニング + オールセラミッククラウン ①

治療前

治療後

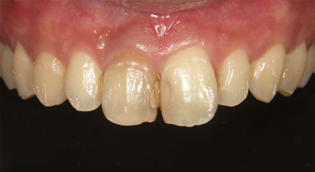
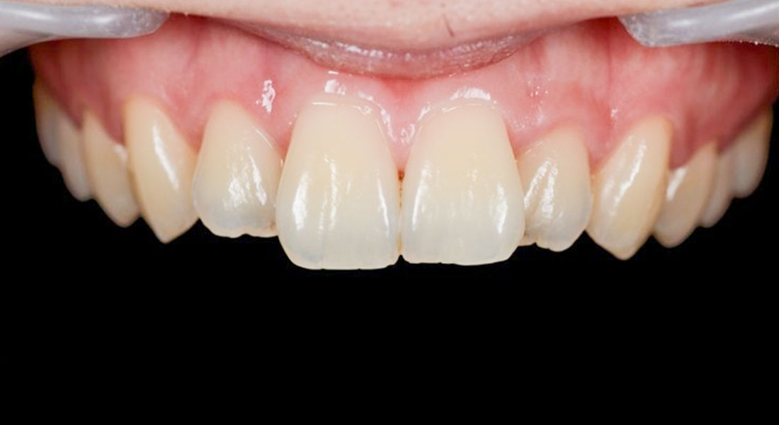
ホームホワイトニング + オールセラミッククラウン ②

治療前

治療後

ご予約・お問合せ

TEL.0187-55-4222

【診療時間】
[月・火・木・金]9:00~12:00 / 14:00~18:30
[ 水曜 ・ 土曜 ]9:00~12:00
[ 休診日 ]日曜・祝日