ZIRCONIA & CERAMIC
ジルニコニア・セラミック治療
セラミック治療とは
About
セラミック治療とは、歯を白くするだけではなく、事故で欠損した歯を他の歯と変わりなく治療したり、目立ってしまう詰め物を目立たない詰め物にしたりと、総合的な歯の美しさを修復する治療のことを言います。
保険外治療が多いものの、治療後の満足感は格段にあがるはずです。
歯の変色について
Tooth discoloration
外側からくる変色
飲食による歯への着色がNo.1です。タバコはもちろん、コーヒー、紅茶、ウーロン茶、赤ワイン、コーラなどの飲み物、カレーなど香辛料の強い食べ物、チョコレートなど日常口にしているものでも色素が歯についてしまいます。また、口紅も注意が必要です。
内側からくる変色
-
・加齢変化
生えたての歯の象牙質は淡いクリーム色をしているのですが、肌の老化と同じで新陳代謝により年々この色が濃くなってきてしまいます。
またエナメル質も毎日の歯磨きや歯軋り、毎日の食事などで薄くなり内側の象牙質の色が強くなってきてしまいます。この二つの相互作用により歯の色が黄色くなってくるのです。 -
・薬剤による変色
テトラサイクリンという抗生剤によっても象牙質の色が変色します。
永久歯の象牙質ができてくる乳児から7歳くらいの間にこの薬を長期間飲むと象牙質に色素が沈着してしまい歯の色がかなり濃くなったり歯に縞模様ができたりします。 -
・神経を取ることによる変色
歯の神経をとってしまったり、神経が死んでしまったりした場合でも、象牙質が茶色に変色してきます。
これは歯に栄養が行き渡らなくなったために起こります。 -
・フッ素による変色
エナメル質の形成期に多量のフッ素を摂取すると、歯に白い斑点ができたり、一部分が茶褐色に変色することがあります。
この白斑はホワイトニングを行うことによって逆に目立ってしまう場合があり注意が必要です。
軽い場合はホワイトニングで改善できます。
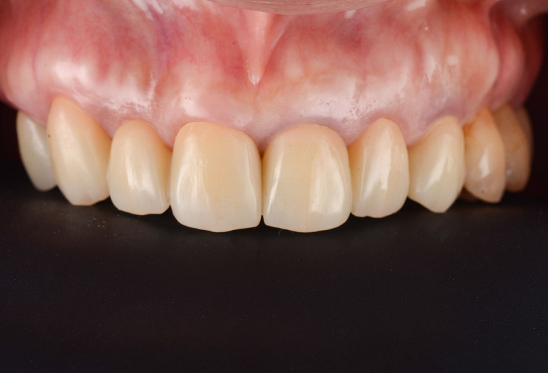
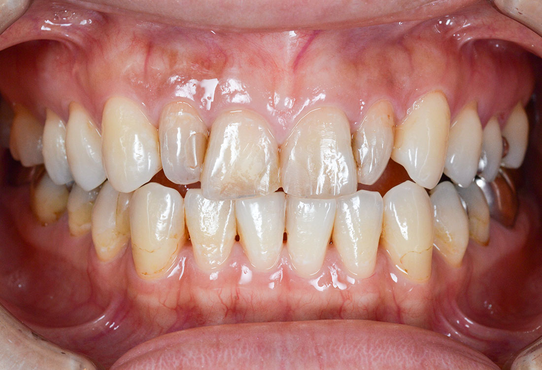
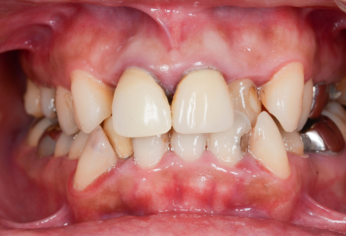
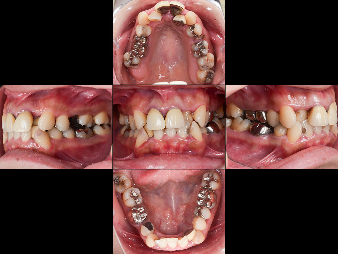
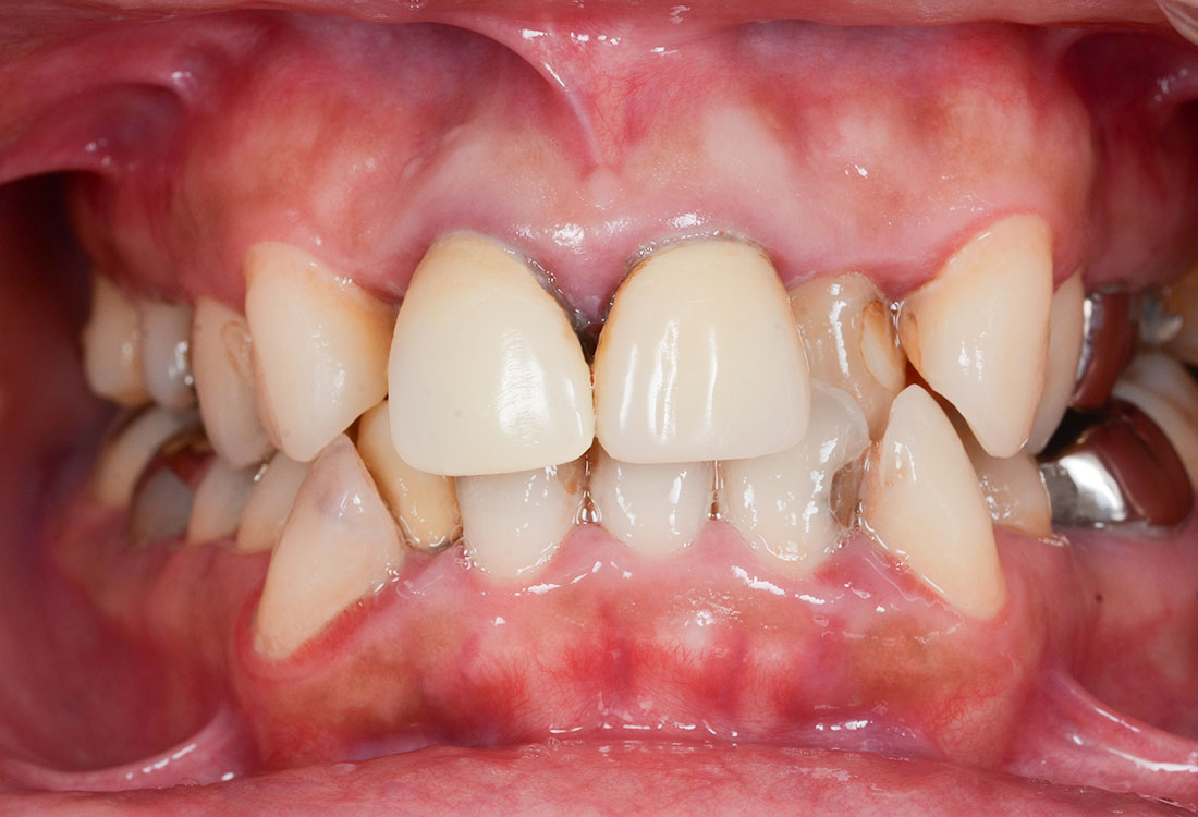
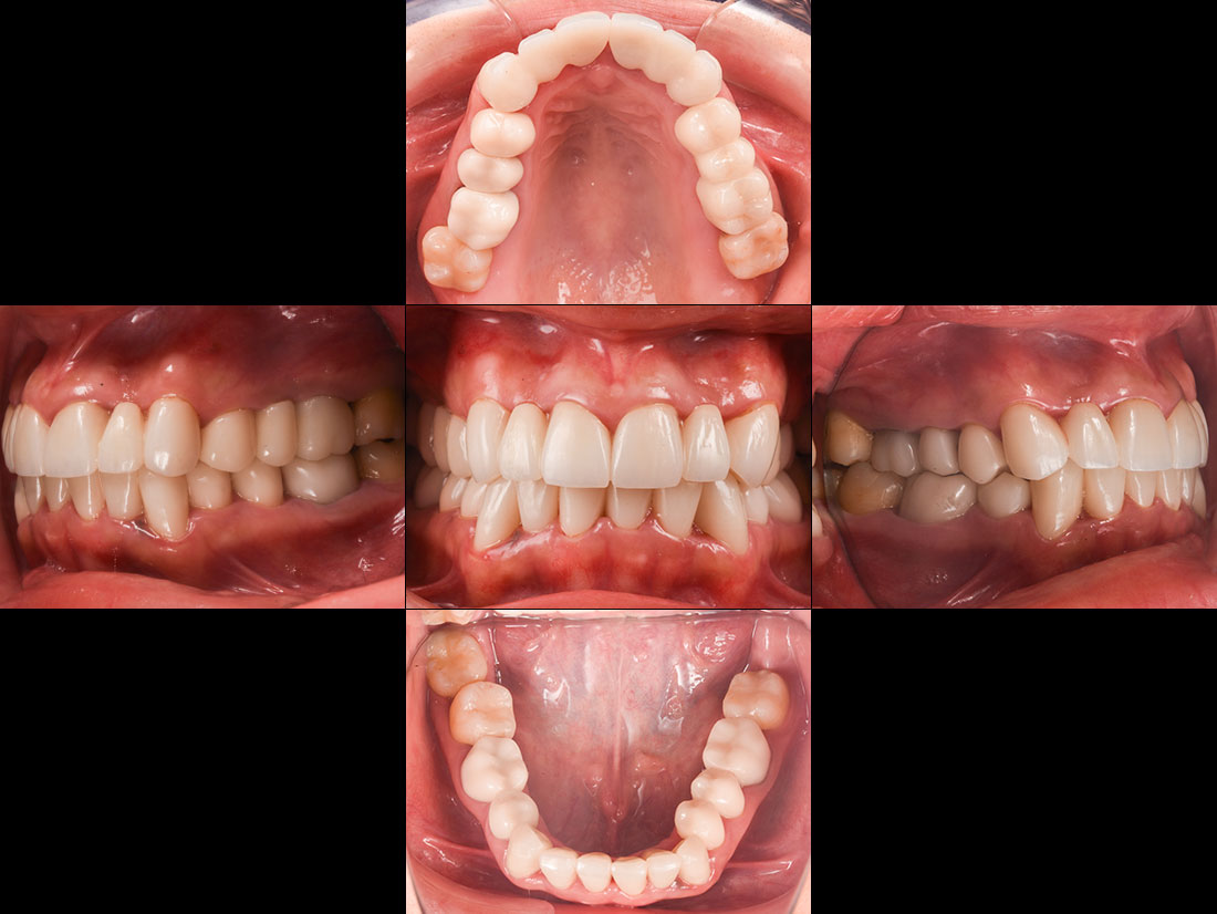
治療症例 Case1
Treatment cases
ご相談内容
- 歯並びが気になる
- 矯正をする時間が取れないので被せ物で治していきたい
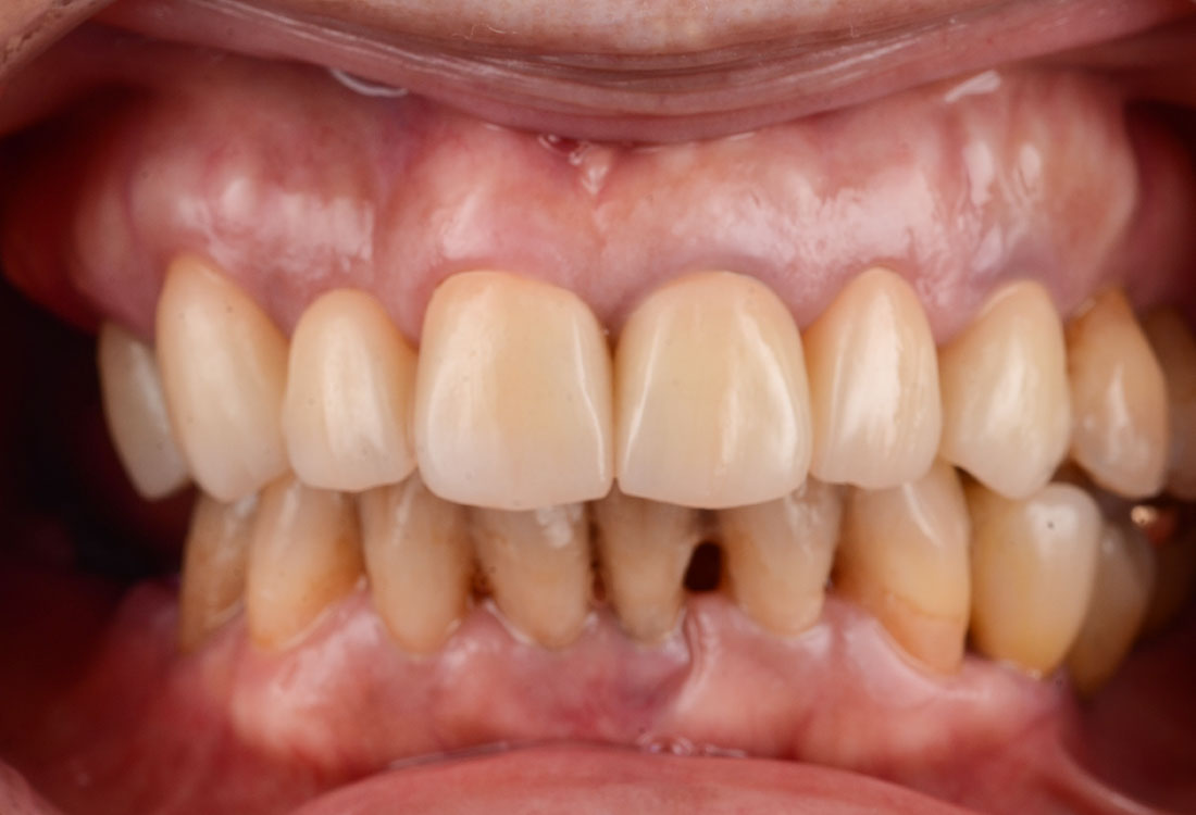
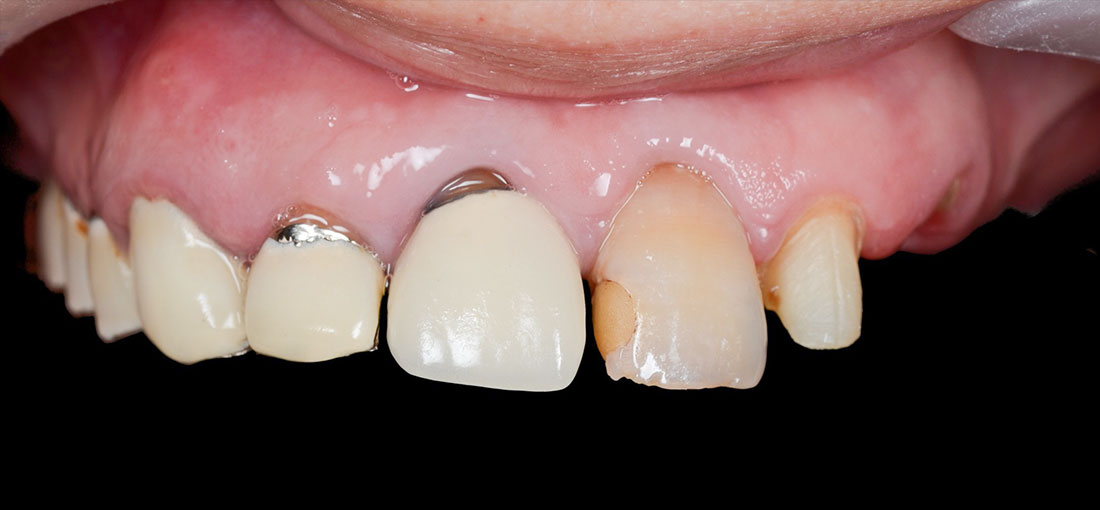
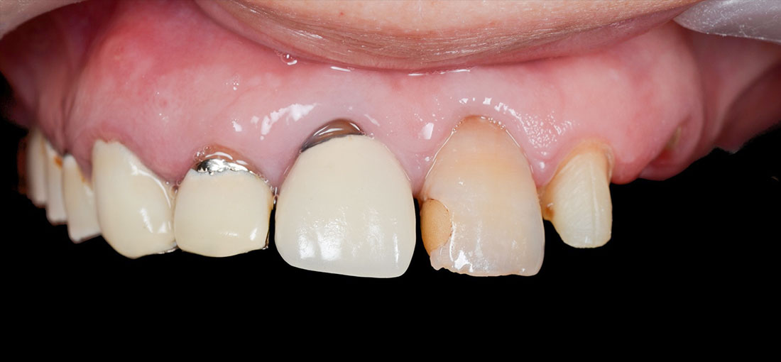
治療前
治療後
今回は前歯をグラデーションカラーのジルコニア、奥歯をセレックで治療しました。
見た目の美しさのポイントになるスマイルラインも整っています。
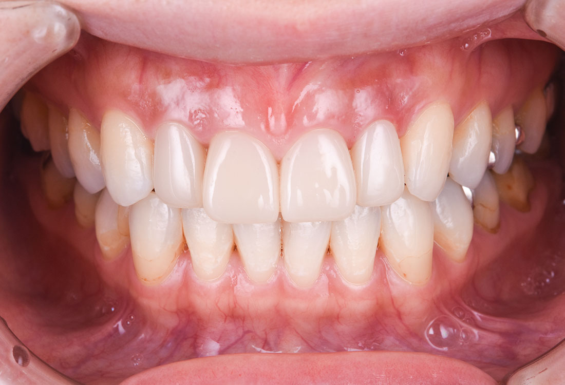
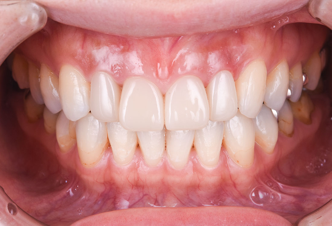
治療症例 Case2
Treatment cases
ご相談内容
- 歯の形と見た目が気になる
- 真っ白ではなく色を元の歯の色に合わせてほしい
治療内容
今回は着色したジルコニアを選択しました。
治療後
着色した被せ物を使うことでとても自然な仕上がりになりました。
治療症例 Case3
Treatment cases
ご相談内容
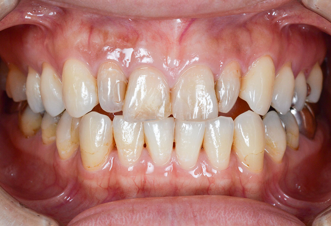
- 上の左右2番目の歯と尖っている前歯が気になる
- 歯の形を治したい
- 歯の色をきれいにしたい
ホワイトニングで全体的に白くした後、その色に合わせて被せ物を作っていきます。
治療内容
模型を作成して最終的な形を模索します。
ファイバーコアで神経のない歯に土台を作ります。
ファイバーコアは保険治療で使われるメタルコアと異なり白く、被せ物が透けて黒く見えません。
土台になる歯の形を整えて最終的な形の模型を作ります。
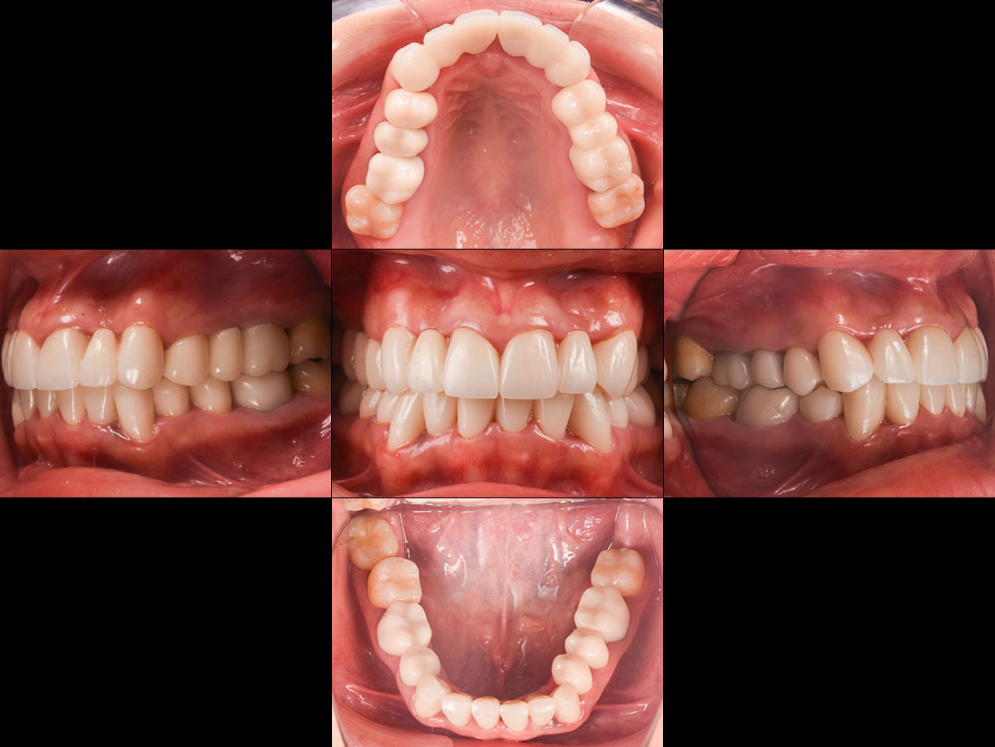
治療後
白く明るい口元になりました。


