MOUTHPIECE

マウスピース矯正

マウスピース矯正 “Sure Smile”

About

マウスピース矯正とは

マウスピース矯正とは、これまでの矯正治療のように、金属の目立つワイヤーとブラケットによる固定式の矯正治療ではなく、アライナーという透明なマウスピース型の矯正装置を使用する歯列矯正です。

当院で導入している”Sure Smile”は、1992年にドイツのキール大学で開発が始まって以来、20年以上の歴史を持ち、矯正専門医とエンジニアによって矯正治療のデジタル化を進めてきた世界的なデジタル矯正ブランドです。

マウスピース矯正Q&A

下記の画像をクリックすると、当院のYouTubeチャンネルの動画へ移動します。

マウスピース矯正否定派だった当院が導入した理由

2000年に矯正を始めてから当院が2020年までに手がけた約1000症例は、全てワイヤーで治療しています。

これまでマウスピース矯正を導入しなかったのは、
 簡単な症例にしか対応できない
 咬まない
 後戻りなどのトラブルになりやすい
 そもそも矯正ができないDr.しかやっていない
といった理由からでした。

しかし今では、
 さまざまな症例に対応できる
 咬まないことはない
 矯正専門医も導入し始めた
というようにマウスピース矯正の弱点が克服されてきています。

他の歯科医療のデジタル化とのコンビネーションにより、
十分に患者さんに提供できるレベルの治療になったと判断して導入することにしました。

Sure Smile のメリットとデメリット

メリット

  • アライナーは自分で着脱可能
  • 食事、歯磨きの時に外せる
  • 装置が目立たない
  • 金属アレルギーの心配がない

デメリット

  • 長時間(20時間以上)装着する必要がある
  • 本人の装着努力に治療効果が左右される

Sure Smile独自のリップトレース機能

スマイル写真に3D模型を重ね合わせ、理想の位置に歯列を配置できます

治療前に、矯正終了後のお顔を確認できます。
歯科用X線データが提供されると3Dモデルに連携され、写真を重ね合わせることで、患者さんの自然な顔の特徴と調和するように最終的な歯の位置をプランできます。

ワイヤー矯正との組み合わせ

叢生(デコボコした歯並び)や歯を大きく動かす必要のある場合は、ワイヤー矯正とマウスピース矯正の組み合わせで治療が可能です。
ワイヤーで歯を動かした後にマウスピースで後戻りを抑えながら整えることができます。

ホワイトニング

矯正用のマウスピースでホームホワイトニングもできます。
歯並びを整えながら歯を白くすることができるため、ホワイトニングも希望される方にはお勧めしております。

治療の流れ

Treatment flow

歯型の撮影

口腔内スキャナー「プライムスキャン」を使い、お口の中の歯並びなどをスキャンしてデジタルデータを作ります。

データをもとに歯の動きを導き出す

①でスキャンした歯型データをシステムに取り込み、治療による歯の動きを適切に算出します。

治療計画の立案・決定

デジタルデータとシミュレーションを通して、患者さんに合った適切な治療計画を立案・説明いたします。ご納得いただけましたら治療に進みます。

マウスピースの製作・お渡し

デジタルデータと治療計画をもとに、オーダーメイドでマウスピースを製作いたします。
治療計画承認後、2~3週間でアライナーが届きます。
(治療完了までのすべてのアライナーがアライナーボックスに入って届きます)

決まった期間ごとにマウスピースを交換

決められた期間ごとに、新しい形のマウスピースに付け替えていきます。
こうすることで徐々に歯を動かしていきます。

注意が必要な場合もあります

  • 舌癖等の習癖のコントロールが必要な場合
  • 重度の歯周病の方は先に歯周治療が必要です。
  • 顎関節症や咬む位置の変化に注意が必要なため、定期検診を欠かさず受けてください。

マウスピース矯正の症例

Treatment cases

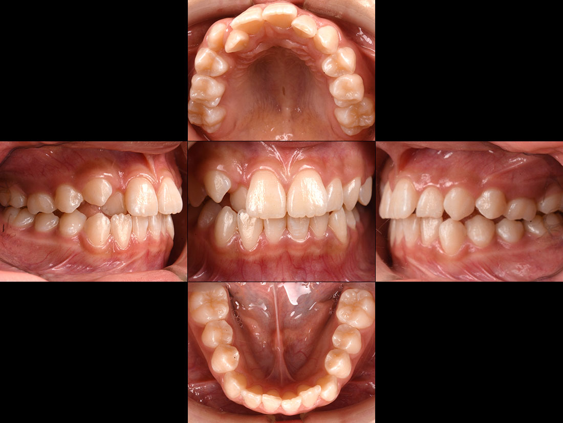
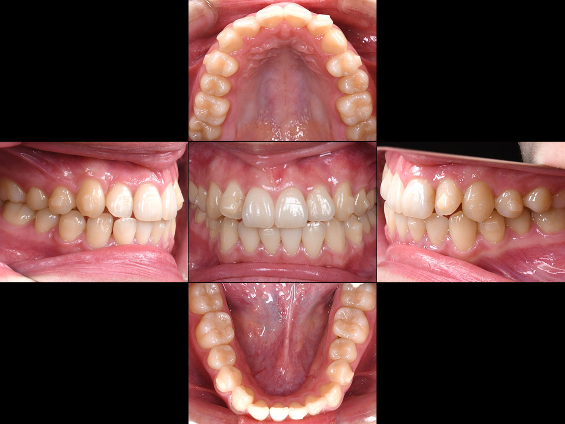
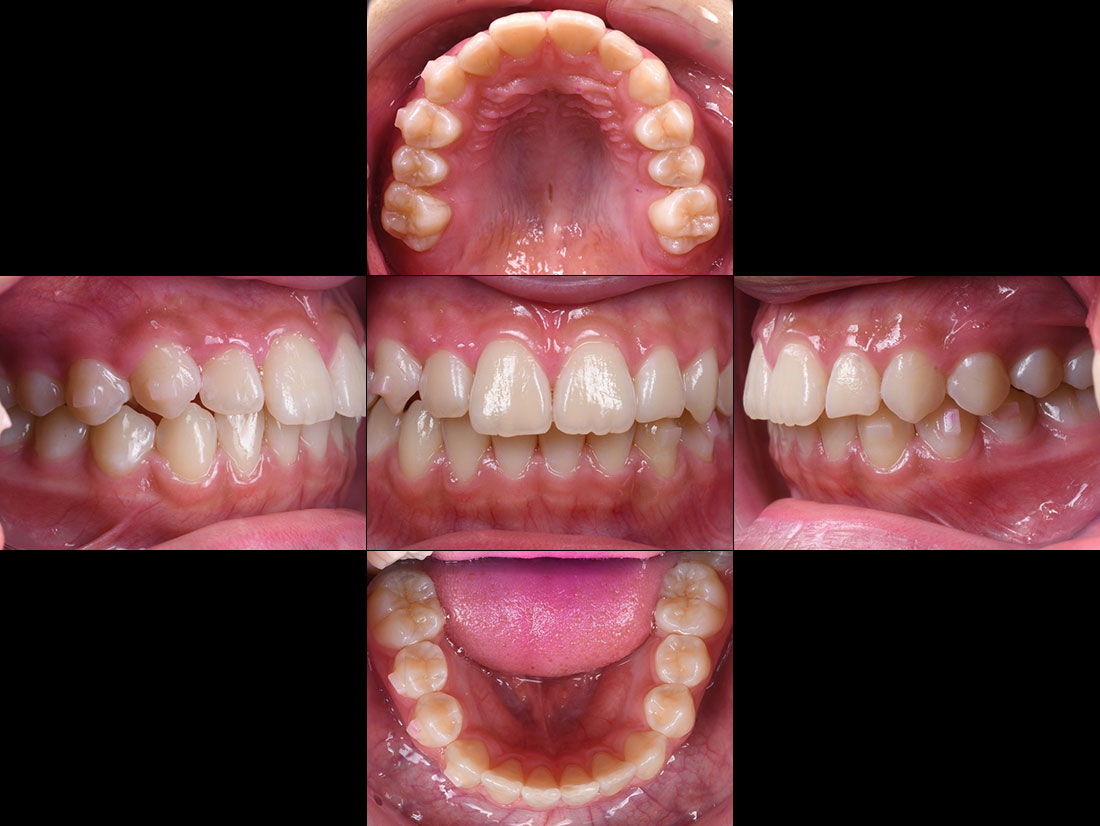
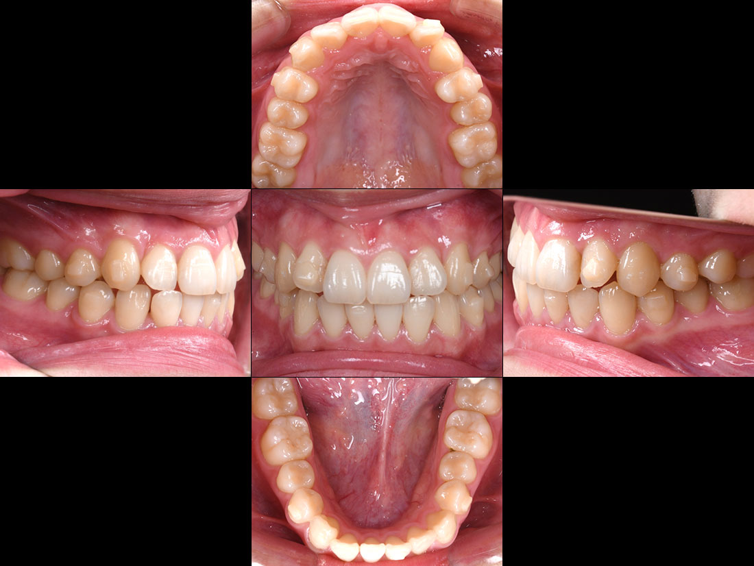
Case1

治療前

治療後

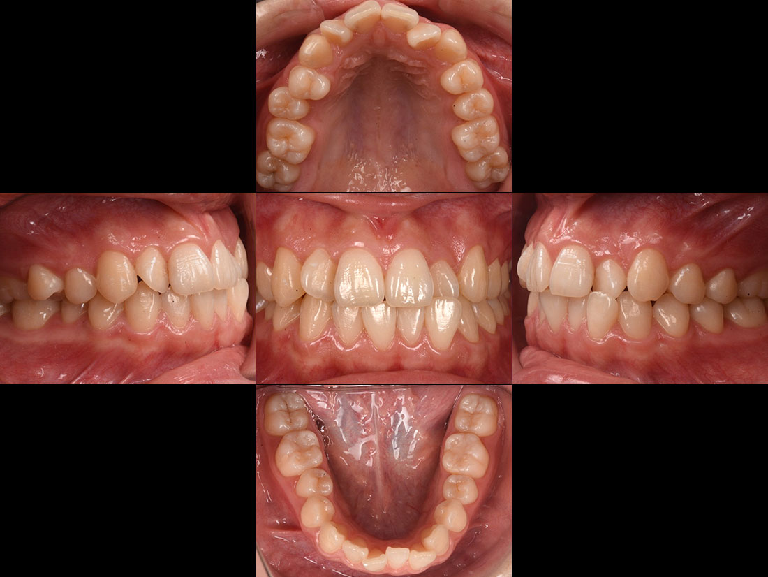
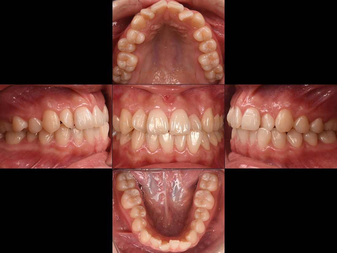
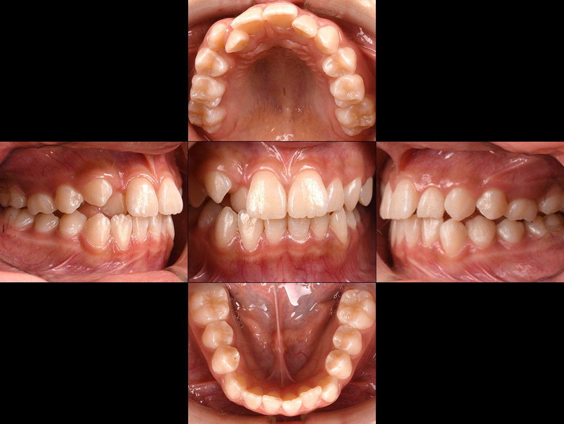
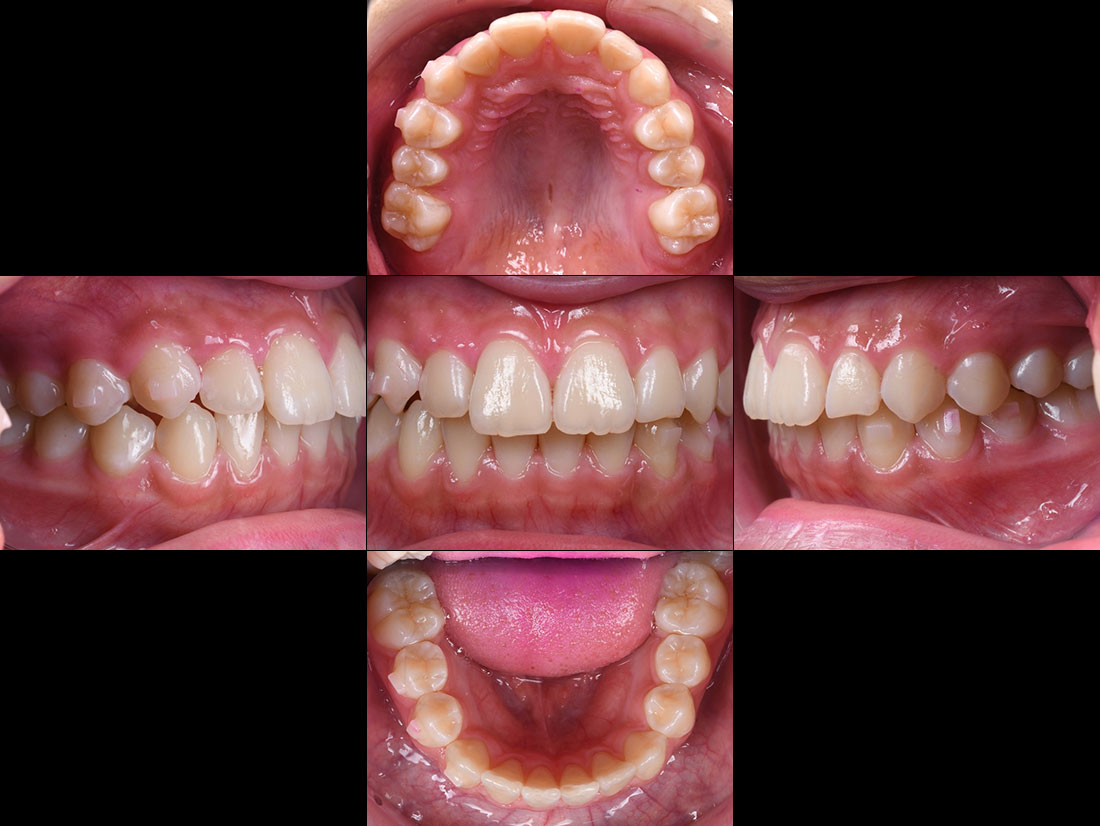
Case2

主訴

笑った時の歯の形が気になる

治療前

治療後

ご予約・お問合せ

TEL.0187-55-4222

【診療時間】
[月・火・木・金]9:00~12:00 / 14:00~18:30
[ 水曜 ・ 土曜 ]9:00~12:00
[ 休診日 ]日曜・祝日