IMPLANT

インプラント

インプラントとは

About

インプラント治療とは、失ってしまった自分の歯の代わりに、人工の歯根を顎の骨に埋め込み、その上に人工の歯を作製して噛み合わせを回復する治療法です。固定性であるためガタついたりせず、白分の歯のように噛めるようになります。
自然の歯に匹敵する機能が得られます。丈夫なインプラント(人工歯根)なら、天然歯の歯根と同様に機能します。また歯冠の色や形も、最新の歯科技術によって、自分の歯と同じように作ることが可能です。

インプラント治療は、近年かなり身近な存在になってきました。
それに伴い安全性、機能性、審美性も向上してきましたが、インプラント治療は外科手術を伴うため、ドクターによって技術的に大きな差が出てしまいます。

そのため専門的な研修を積んでいるのか?実績はどれくらいあるのか?設備は整っているか?という点はとても重要になってきます。

また、偏にインプラントといっても、100社を超える沢山のインプラントメーカーが存在しており、その中でも認可を取得している正式なインプラントメーカーは残念ながらひと握りしか存在しません。実際に当院で使用しているインプラントの10分の1の金額で販売しているようなインプラントもあります。

当院では、院内外での専門的な研修、インプラント埋入実績、設備に関しても皆様が安心してインプラント治療を受けられる環境が整っております。さらに、骨移植を伴うような高度なインプラント治療にも対応しておりますので、お気軽にご相談ください。

※当院では、信頼性の高いブローネマルクシステム、アストラテックインプラント、バイオホライズンレーザーロックシステム、GCインプラントを使用しており、骨の状況に応じて使い分けております。

関連動画

下記の画像をクリックすると、当院のYouTubeチャンネルの動画へ移動します。

インプラントの技術革新

インプラント治療の流れ

Treatment flow

1.診査・診断

レントゲンなどによって十分な診断の後、インプラント治療に関する説明を受けます。インプラント治療は専門のトレーニングを受けた歯科医師のみが行います。

1.診査・診断

レントゲンなどによって十分な診断の後、インプラント治療に関する説明を受けます。
インプラント治療は専門のトレーニングを受けた歯科医師のみが行います。

2.インプラントを埋め込む

CT事前にシュミレーション

シュミレーション通りにインプラント埋入

局部麻酔のもと、顎の骨にチタン製のインプラントを挿入します。 このインプラントが 新しい歯の土台となります。

3.治療期間

インプラントと骨が結合し安定するまで約5~10週間待ちます。

4.アバットメント連結

インプラントが完全に顎の骨と結合したら、アバットメントを連結します。

5.歯の装着

装着様式には、セメント固定式とスクリュー固定式の2種類がありますが、当院ではほとんどのケースにおいて、より長期安定性に優れるスクリュー固定型で対応しております。

インプラントのヘッドに医療用セメントを用いて、歯を装着します。これでインプラント治療は一応終了となります。
装着したインプラントを長持ちさせるためには、治療終了後の定期的な検診とホームケアなどのアフターケアが大切になります。
 

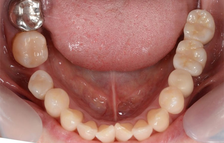
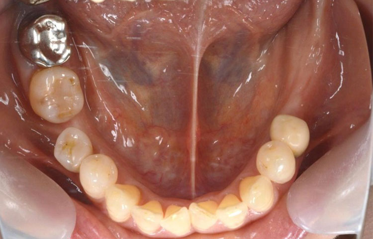
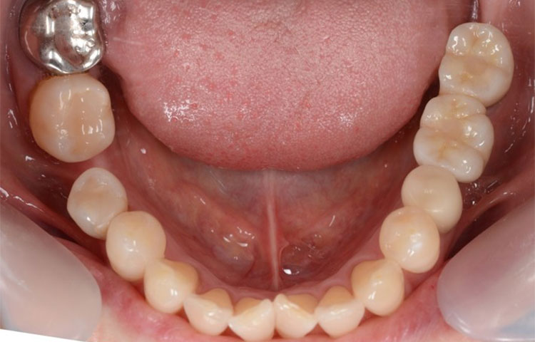
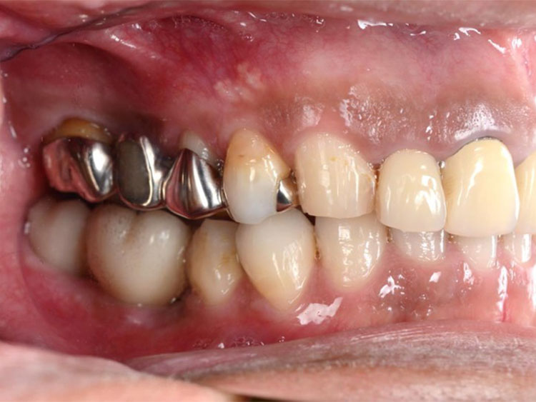
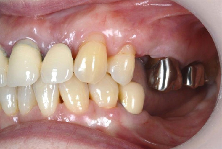
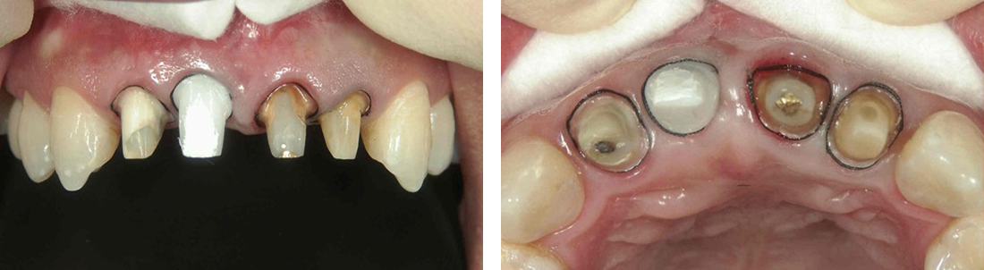
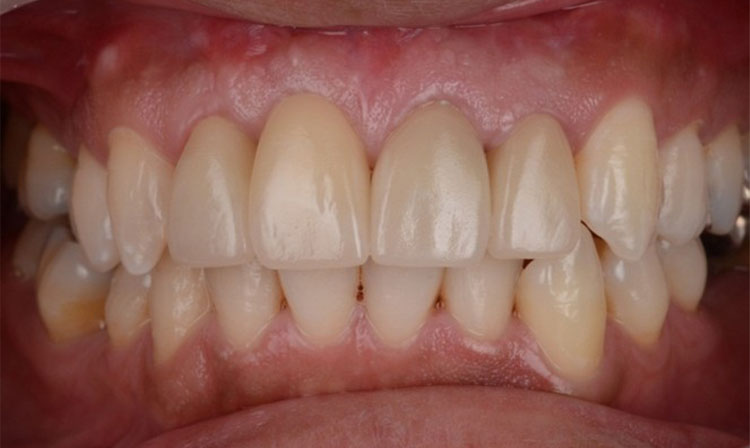
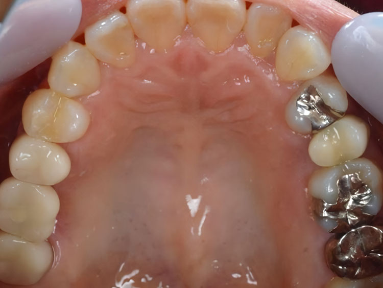
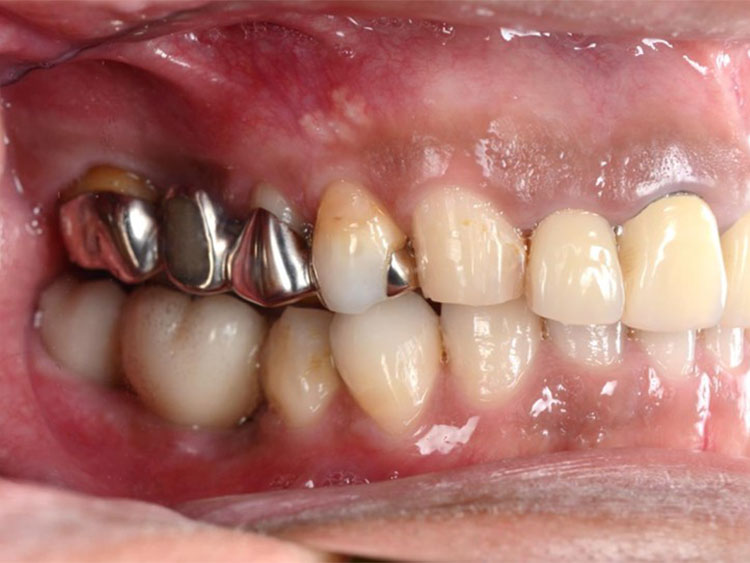
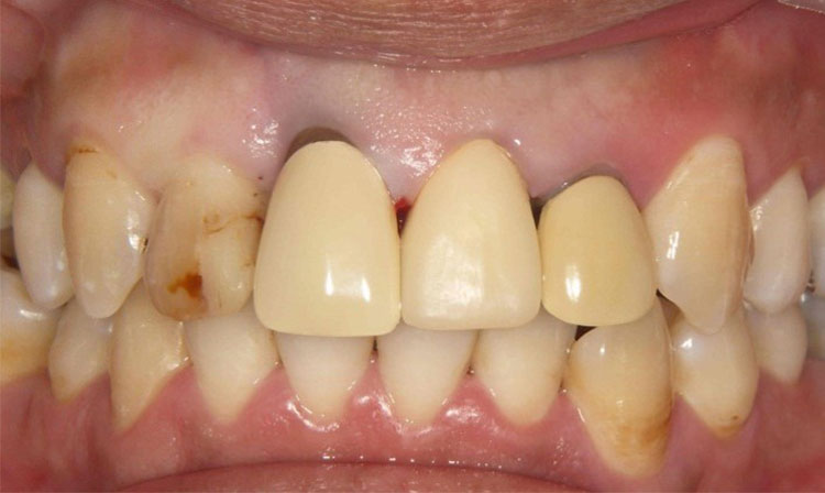
インプラント症例 Case1

Treatment cases

Before

After

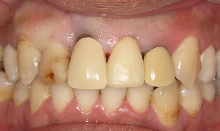
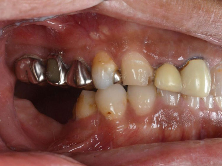
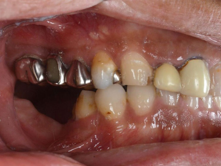
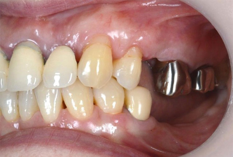
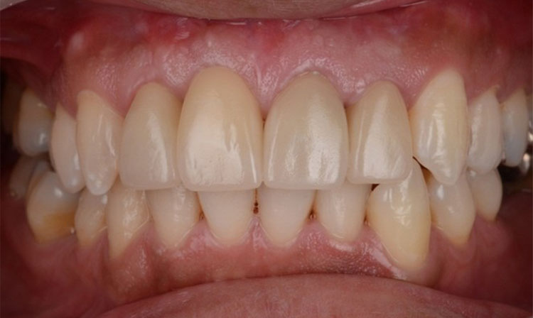
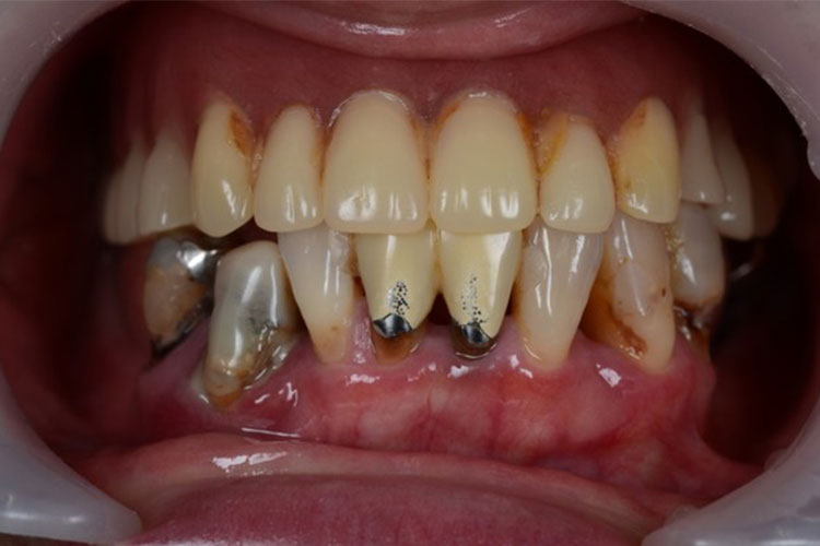
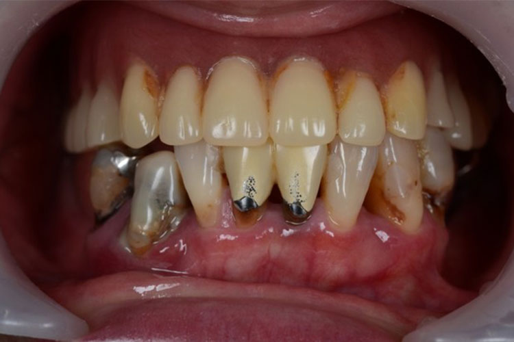
インプラント症例 Case2

Treatment cases

Before

After

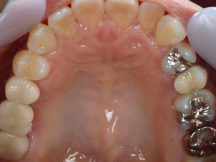
インプラント症例 Case3

Treatment cases

Before

After

Before

After

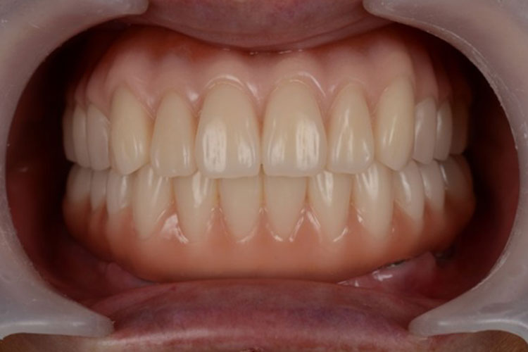
All-on-4症例 Case1

Treatment cases

Before

After

インプラント治療は、咀嚼機能の改善だけでなく、 口腔周囲筋の発達により見た目の若返りにも貢献してくれます。

All-on-4症例 Case2

Treatment cases

Before

After

All-on-4症例 Case3

Treatment cases

Before

After

ご予約・お問合せ

TEL.0187-55-4222

【診療時間】
[月・火・木・金]9:00~12:00 / 14:00~18:30
[ 水曜 ・ 土曜 ]9:00~12:00
[ 休診日 ]日曜・祝日