CLINIC INFORMATION
設備紹介
マイクロスコープ
Microscope
当院では、最新のマイクロスコープ(歯科用の顕微鏡)を導入し、より正確で精度の高い治療を行っております。
歯科治療は場合によっては、かなり細かい仕事が必要です。そのため正確で精密な診療のためマイクロスコープを使用しています。
残念ながら、日本の歯科医療での導入率はあまり高くないのが現状ですが、マイクロスコープを使用して人間の視力の約30倍の大きさで見ることにより、インプラント治療や根管の内部から歯周組織、歯の切削面など、様々なお口の中の状態が手に取るように確認することが出来ます。
これにより精度の高い診断や治療を提供する事が可能となりました。また、マイクロスコープの映像はモニター画面に映し出される為、患者さんに分かりやすく説明させていただくことも可能です。
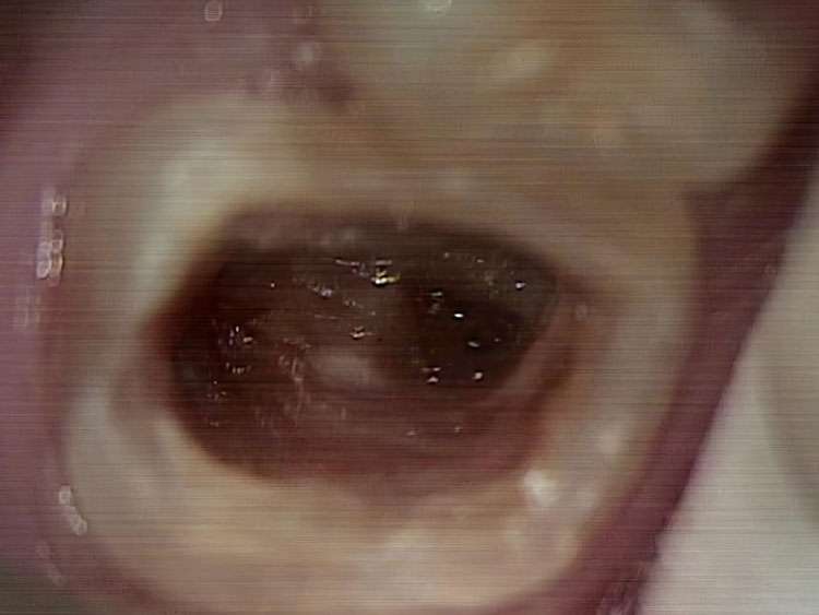
根管を目視したときの見え方
マイクロスコープ使用時の見え方
マイクロスコープは、主に次の治療に使用します。
-
・歯の神経の治療
患部を30倍に拡大してみることで感染源を除去することが容易です。
-
・補綴物(被せもの・詰めもの)の調整
歯と詰め物及び被せ物との合わせ目が、精密にあっていないと、バイ菌の侵入口となり、治療した箇所が再度虫歯になってしまう、2次カリエスになってしまいます。そのため、マイクロスコープを使用し、ミクロ単位の調整をすることで、2次カリエスを防ぎます。
-
・虫歯を削る
虫歯の治療では、虫歯の箇所を削り取ってしまうことがどうしても必要です。当然ですが、一度削ってしまった歯は、元に戻すことはできません。
そのため、当院ではマイクロスコープを使用し、虫歯の削りすぎが無いように精密な治療を行い、出来るだけ、歯髄を保護できるよう治療を行っております。
歯科用CT
Dental CT
当院では、高性能コーンビームCTX線装置導入により高画質画像を提供、的確な治療が行えます。
従来のレントゲンは2次元では隠れて見えない部分があり、診断に限界がありました。
CTは立体的で精密な3次元の画像を得ることができるため、インプラント治療で必要になる骨の診断、親知らずの位置、根の先の病気、矯正治療、腫瘍など、お口の中の色々な病気の詳細な分析、正確な診断が可能です。
従来のCTに比べて、当院の歯科用デジタルCTは先進のテクノロジーによりX線照射線量(一般の医科用CTの約1/10程度)が少なく患者さんにやさしいCTです。
外科的治療で正確なデータ情報が得られるので安全でスムーズな治療が可能です。
CTで診断することにより、従来のレントゲンではわかることができなかった、歯や顎の骨の詳しい状態を正確に把握する事ができます。
埋伏している親知らずの状況を正確に把握する事で、安全な抜歯が可能です。
また、インプラント治療においては、顎の骨の情報を正確に知ることで、安全で質の高い治療を提供する事ができます。
関連動画
下記の画像をクリックすると、当院のYouTubeチャンネルの動画へ移動します。
セレックシステム
CEREC system
高品質・キレイ・スピーディー
「最短1時間」で驚くほど白く美しい歯に
デジタルワークフローインタビュー
歯科医療のデジタル化についてのインタビュー動画です。
歯科医師向けの動画で若干わかりにくい単語も出てきますが、セレックや口腔内スキャナーを採用している理由のお話しです。
ぜひ一度ご覧ください。
セレック2台目導入しました。
当院ではセレック治療をご希望される方が多かったため、セレックをもう一台導入致しました。
今後セレックをご希望の患者様をお待たせすることが無いよう治療を行っていきますので、治療をお申し込みの方はお気軽にお申し付け下さい。
セレックとは
セレックシステムは、医療先進国ドイツからやってきた、コンピュータ制御によって歯の修復物を設計・製作するCAD/CAMシステムです。
コンピュータを使って修復物を作製するので、歯型を取ることがありません。
最先端の3D光学カメラを使用して患部を撮影(スキャン)し、患部の歯列をモニター上に再現。そのあとはコンピュータの3D画面上にて修復物を設計し、ミリングマシンがデータをもとに作製します。
歯科技工所に依頼することなく歯科医院で修復物を作製できるので、一般的な修復物よりも経済的。また規格生産された高品質なセラミックブロックを使用するため耐久性が高く、治療時間も約1時間と非常にスピーディーです。
また、セラミック素材は、金属の詰め物被せものに比べ、歯との接着力、耐久性が非常に優れているので2次カリエスになりにくく、「虫歯の再発」⇒「歯を削り詰めもの」の悪循環を防ぐことで結果的に自分の歯を守ることができます。
※2次カリエスとは、一度虫歯治療をした箇所が補綴物の隙間などから菌が入り込み、再び虫歯になってしまうことです。
セレックの特徴
-
・型取り不要
3Dカメラで口の中をスキャンして印象を採得するため、型取り用の印象材を使う必要がありません。
型取りの度に「オエッ」として嫌な思いをしてきた方には最適です。 -
・治療期間の短縮
口腔内スキャンで得られたデータをもとにセラミックブロックから削り出して詰め物・被せ物を作成するため、従来より治療期間を短縮することができます。
※ただし、症例によってはセレックによる治療ができない場合もあります。ご希望の方は一度ご相談ください。 -
・再治療のリスクを軽減する
虫歯の再発は詰め物・被せ物と歯のわずかな隙間から虫歯の菌が侵入して起こります。セレック治療は詰め物・被せ物を装着するまでの期間も短いため仮歯が取れる等で、治療箇所へ菌が侵入するリスクが軽減されます。
また、セラミックは歯に接着しやすいため隙間から菌が侵入しにくく、虫歯の再発リスクを軽減することができます。 -
・審美性に優れたセラミック治療
見た目が自然な白さで周りの歯の色にある程度近づけることができるため、装着後もほとんど違和感がありません。
また、保険治療の詰め物・被せ物(銀歯)が原因で金属アレルギーを発症した方、金属アレルギーが気になる方には適しています。
院内・器材のご紹介
Facility
受付
初診の方は保険証を提示して下さい。
治療に関して、不明な点やご質問・ご相談等がございましたら、お気軽にお申し付けください。スタッフ一同、笑顔でお待ちしております。
待合室
出来るだけお待たせないしないよう、心がけています。
急患の方は予約の方を優先しておりますので、多少お待ちになっていただく場合もございます。ご了承下さい。
第2待合室
当院では2階の診療室で治療される患者様のために、第2待合室を設けております。
キッズコーナー
小さなお子さんも退屈しないように、キッズコーナーを設置しております。お子さんをお連れの患者さまも安心してお越しください。
パウダーコーナー
治療前後のお口のケアやブラッシング等にご利用ください。
カウンセリングルーム
カウンセリングルームでは、患者さまの疑問・質問にお答えし、説明と納得の上で治療を進めていきます
診療室
治療の際はコミュニケーションを重視し、患者さま一人ひとりに合った最適な治療を心がけています。衛生的で設備の整ったユニットで、気持ちよく治療を受けていただけます。
2階診療室
当院では2階にも診療室を設けております。
ユニット
院内はいつも清潔を心掛けています。衛生的で設備の整ったユニットで、安心して治療を受けることができます。
個室診療室
プライベートな空間で他の患者さんの目を意識する事なく、ゆったりした気分で治療を受けることができます。
手術室
インプラント等の手術の際に使用します。
清潔に保たれた完全個室となっており、安心して治療を受けていただくことができます。
研修室
当院の治療方針は、全ての患者様に対し今後予想される咬み合わせや顎関節症、歯周病、歯並び等の問題をトータルケアで対応することです。
スタッフ一同、院内外で日々研修を行い、最新かつ最良の歯科医療を提供していくスタイルをとっております。
歯科用CT
2023年3月に新しい歯科用CTを導入いたしました。
今回導入したCTでは、顎だけではなく気道の状態まで確認できるようになります。睡眠時無呼吸症候群でお悩みの方も多く、適切な治療を提供するための診断ツールとして導入しました。また、修復物の設計ソフトウェアと連動がスムーズになるため、より精密な治療を提供するためのデジタル化も一歩先に進めることも目的の1つです。虫歯の治療だけではなく、インプラントやマウスピース矯正などにも対応しております。
より正確な診査診断と安全な治療を行うため、最先端医療機器の被爆線量が少ない歯科用CTを導入しております。妊娠中の方でも安心して撮影することができます。
レーザー機器
痛みも少なく、麻酔をほとんど使わず治療できるので、処置後の早期治癒が期待できます。
笑気鎮静器
小さなお子様から大人の方までよりリラックスして治療を受けていただくために笑気鎮静器を導入しています。血中からの排泄も早いため、治療後にすぐ帰宅することもできます。
ハンドピース用 自動注油器
治療で使用するハンドピースを洗浄し、注油までを行う機器です。
高圧蒸気滅菌機
洗浄後にパッキングした器具を、高圧の蒸気で滅菌する機械です。
インスツルメント専用 小型オートクレーブ
治療で使用する器具の滅菌を行うための、小型の機械です。
エアドッグ
診療室や待合室には、空気清浄機 エアドッグを設置しております。