CEREC
セレック
セレックシステム
CEREC system
高品質・キレイ・スピーディー
「最短1時間」で驚くほど白く美しい歯に
デジタルワークフローインタビュー
歯科医療のデジタル化についてのインタビュー動画です。
歯科医師向けの動画で若干わかりにくい単語も出てきますが、セレックや口腔内スキャナーを採用している理由のお話しです。
ぜひ一度ご覧ください。
セレック2台目導入しました。
当院ではセレック治療をご希望される方が多かったため、セレックをもう一台導入致しました。
今後セレックをご希望の患者様をお待たせすることが無いよう治療を行っていきますので、治療をお申し込みの方はお気軽にお申し付け下さい。
セレックとは
セレックシステムは、医療先進国ドイツからやってきた、コンピュータ制御によって歯の修復物を設計・製作するCAD/CAMシステムです。
コンピュータを使って修復物を作製するので、歯型を取ることがありません。
最先端の3D光学カメラを使用して患部を撮影(スキャン)し、患部の歯列をモニター上に再現。そのあとはコンピュータの3D画面上にて修復物を設計し、ミリングマシンがデータをもとに作製します。
歯科技工所に依頼することなく歯科医院で修復物を作製できるので、一般的な修復物よりも経済的。また規格生産された高品質なセラミックブロックを使用するため耐久性が高く、治療時間も約1時間と非常にスピーディーです。
また、セラミック素材は、金属の詰め物被せものに比べ、歯との接着力、耐久性が非常に優れているので2次カリエスになりにくく、「虫歯の再発」⇒「歯を削り詰めもの」の悪循環を防ぐことで結果的に自分の歯を守ることができます。
※2次カリエスとは、一度虫歯治療をした箇所が補綴物の隙間などから菌が入り込み、再び虫歯になってしまうことです。
セレックの特徴
-
・型取り不要
3Dカメラで口の中をスキャンして印象を採得するため、型取り用の印象材を使う必要がありません。
型取りの度に「オエッ」として嫌な思いをしてきた方には最適です。 -
・治療期間の短縮
口腔内スキャンで得られたデータをもとにセラミックブロックから削り出して詰め物・被せ物を作成するため、従来より治療期間を短縮することができます。
※ただし、症例によってはセレックによる治療ができない場合もあります。ご希望の方は一度ご相談ください。 -
・再治療のリスクを軽減する
虫歯の再発は詰め物・被せ物と歯のわずかな隙間から虫歯の菌が侵入して起こります。セレック治療は詰め物・被せ物を装着するまでの期間も短いため仮歯が取れる等で、治療箇所へ菌が侵入するリスクが軽減されます。
また、セラミックは歯に接着しやすいため隙間から菌が侵入しにくく、虫歯の再発リスクを軽減することができます。 -
・審美性に優れたセラミック治療
見た目が自然な白さで周りの歯の色にある程度近づけることができるため、装着後もほとんど違和感がありません。
また、保険治療の詰め物・被せ物(銀歯)が原因で金属アレルギーを発症した方、金属アレルギーが気になる方には適しています。
セレック治療症例 Case1
Treatment cases
ご相談内容
- 左上の前歯が捻れて前に出ているのが気になる
- 矯正をせずに見た目を治したい
治療中
実物大の模型を作成して被せ物の形を模索していきます。
治療する歯の形を整えてから歯型をスキャンしたデータと模型のデータを重ね合わせて最終的な形を作っていきます。
治療後
捻れて前に出ていた前歯を綺麗に並べることができました。
他の歯と比べても違和感がほとんどありません。
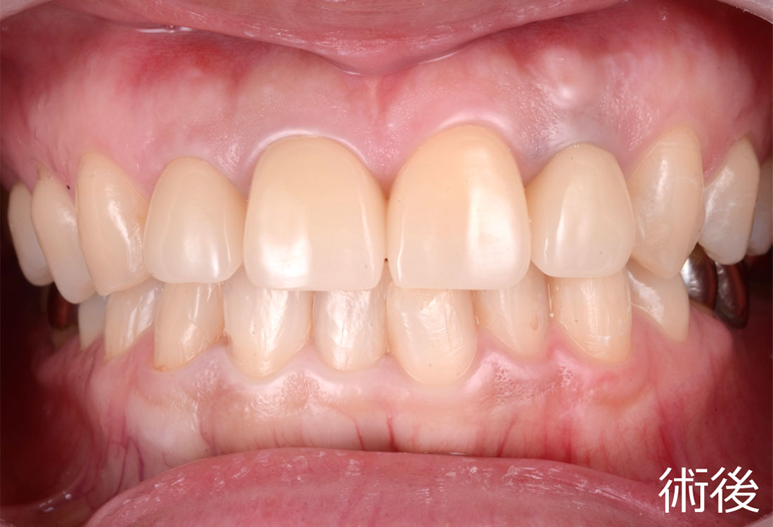
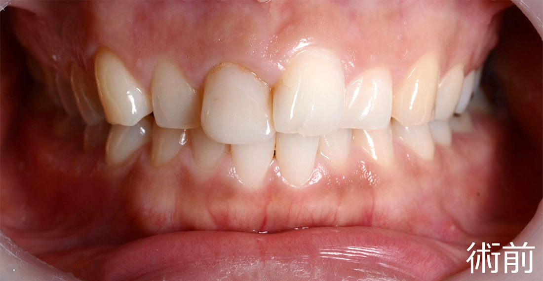
セレック治療症例 Case2
Treatment cases
ご相談内容
- 全体的に歯肉が黒くなっている
- 歯の色が全体的に茶色くなっている
- 歯の形が気になる
治療中
実物大の模型を作成して被せ物の形を模索していきます。
治療する歯の形を整えてスキャンしたデータと模型のデータを重ね合わせて形を整えて最終的な形を作ります。
治療後
左上の2番目の歯は少し黒ずみ(メタルタトゥー)が残っていますが、全体的な歯の色と形が気になるというお悩みを解消できました。